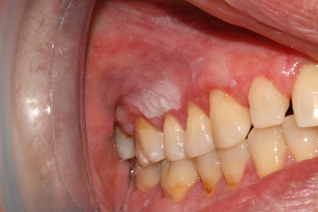
La leucoplasia oral (del griego leykós, blanco y plasía, proliferación) es una lesión bucal que presenta histológicamente algunas disqueratosis, como: papilomatosis; hiperqueratosis; y acantosis, cuya característica principal es ser una placa blanquecina que normalmente no puede desprenderse por raspado, forma parte del epitelio, y está en crecimiento.
Epidemiología
Este tipo de lesión tiene una mayor incidencia en varones entre 40 a 75 años.
Etiología
Su aparición está asociada al tabaco, alcohol, VIH, factores irritativos o virus, aunque hay algunas de origen desconocido.[1]
Histología
Es blanca porque presenta un engrosamiento epitelial con hiperproducción de queratina. Es una lesión delimitada y asociada a factores que la provocan, sobre todo el tabaco; dejando el consumo de este hábito, puede llegar a remitir. También la lesión puede aparecer en zonas no queratinizadas -suelo bucal, lengua- por lo cual se recomienda hacer siempre biopsia; es complejo saber a simple vista si una lesión es cáncer o leucoplasia.
Referencias
- Kumar, Vinay, Abdul Abbas, Nelson Fausto. 2005. Robbins and Cotran Pathologic Basis of Disease. Filadelfia: Elsevier. ISBN 0-7216-0187-1
Enlaces externos
- Wikimedia Commons alberga una categoría multimedia sobre Leucoplasia oral.
- Clínica Mayo, EE. UU.




